植牙跟牙橋怎麼選?當鄰牙健康且空間足夠,植牙往往是首選
上一篇我們提到:「當鄰牙本來就需要保護時,牙橋是個重建的選擇。」
「但如果我缺了一顆牙,旁邊的牙齒都非常健康,完全沒有蛀牙,我還應該把它們磨小來做牙橋嗎?」
這篇文章,我們來聊聊為什麼在某些情況下,我會建議患者選擇「植牙」。
為什麼我會建議植牙?這 3 個關鍵優勢是考量重點
1. 不用「連坐罰」,保留鄰牙的完整性
植牙就像是自己在空地上打一根新柱子,不需要借用隔壁鄰居的牆壁。
如果缺牙區兩側的牙齒非常健康,為了做牙橋而將健康的琺瑯質磨掉,是非常可惜的。植牙能做到「缺哪裡,補哪裡」,完全不干擾健康的鄰牙。
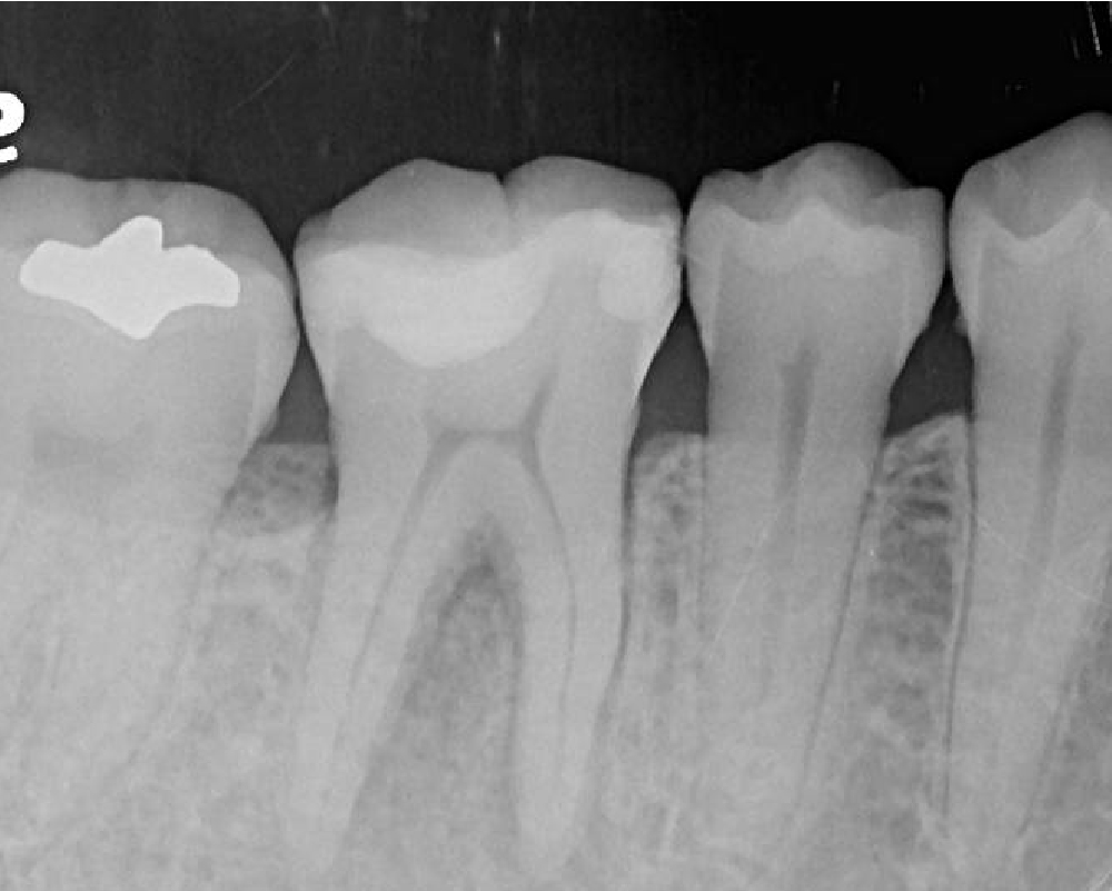
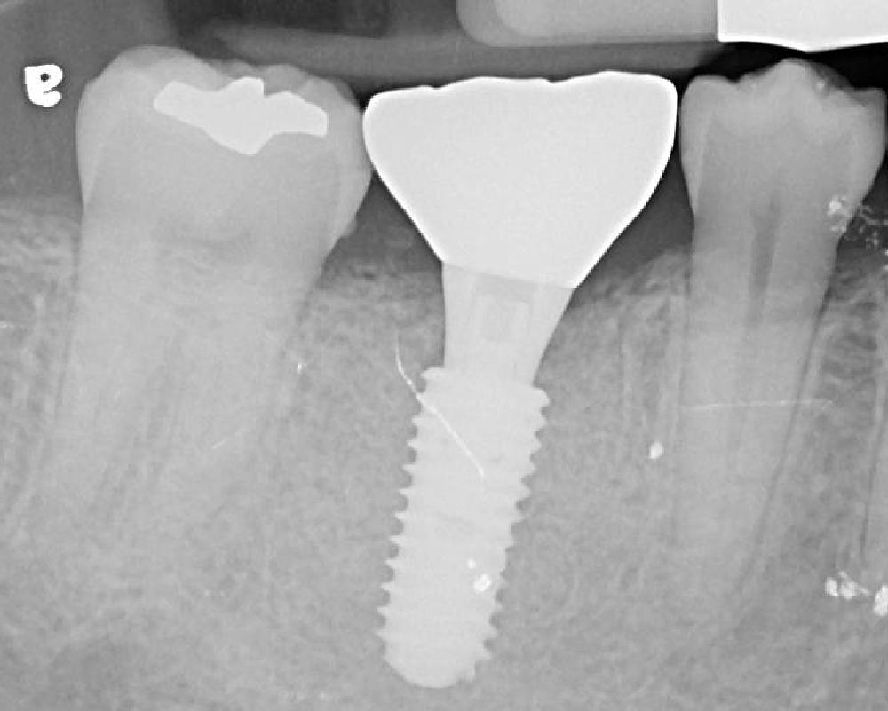
案例解析:L先生的右下第一大臼齒咬裂
治療前:牙齒疼痛疑似有牙根斷裂
治療後:單顆植牙恢復咬合
2. 咀嚼力直接傳導,骨頭不流失
牙齒在咀嚼過程中產生的機械力對於維持齒槽骨的健康至關重要。這一現象主要依循**沃爾夫定律(Wolff’s Law)**,該定律指出骨骼會根據其所承受的機械應力進行重塑和適應 [1] [2]。當牙齒承受咀嚼力時,這些力量會透過牙根傳導至周圍的齒槽骨,產生微小的應變,進而刺激骨細胞(如成骨細胞和破骨細胞)的活性,促進骨骼的形成與維持,防止骨質流失 [3] [4]。
當牙齒缺失後,由於缺乏咀嚼力的刺激,相應區域的齒槽骨會逐漸萎縮,導致骨量減少,甚至影響臉部結構 [8]。牙科植體透過骨整合機制,能夠恢復咀嚼力的傳導,持續對齒槽骨產生生理性刺激,從而有效減緩或阻止缺牙區的骨質流失 [9] [10]。多項研究表明,牙科植體能夠維持齒槽骨的高度和體積,並改善咬合力和咀嚼效率 [4] [11]。
3. 清潔直觀,就像照顧真牙一樣
植牙是一顆獨立的牙齒,可以使用一般的牙線直接滑入牙縫清潔。相比之下,牙橋需要使用牙線穿引器或超級牙線,若清潔不當,容易導致鄰牙從邊緣開始蛀牙。
既然植牙這麼好,為什麼不是所有人都適合?
客觀平衡論述
雖然植牙有上述優勢,但它並非「萬靈丹」。在診間,我還是會綜合評估以下因素:
1. 身體狀況與年紀:
植牙需要進行手術。如果患者有未控制的糖尿病、高血壓、嚴重的骨質疏鬆,或是近期有心臟手術病史,手術風險會增加。
2. 骨頭條件與時間成本:
植牙需要有足夠的「地基」(齒槽骨)。如果骨頭流失嚴重,需要先補骨,這會拉長整個治療時間(可能需要半年以上)。對於急需恢復咀嚼功能或不想等待的患者,牙橋可能是更實際的選擇。
3. 患者的意願與過往經驗:
有些患者對手術有極大的恐懼,或者過往有不好的手術經驗。尊重患者的意願,在安全範圍內提供替代方案,也是醫師的責任。
總結:植牙與牙橋,沒有絕對的勝負,只有最適合的選擇
結論收尾:
如果你的鄰牙健康、骨頭條件允許,且希望長久維持單獨的清潔與受力,植牙通常是首選。
但如果你的鄰牙已經需要做牙套保護、或者身體狀況不適合手術,牙橋依然是一個非常優秀且成熟的治療方式。
FAQ
Q1|植牙手術會很痛嗎?
A:現在的植牙技術非常進步,手術過程都會施打局部麻醉,過程中幾乎沒有感覺。術後的腫痛程度通常與拔智齒差不多,按時服藥都能有效控制。
Q2|植牙可以用一輩子嗎?
A:植體本身是不會蛀牙的鈦金屬,但周圍的牙肉和骨頭還是會生病(植體周圍炎)。只要像照顧真牙一樣好好清潔,並定期回診洗牙檢查,植牙是非常耐用且長壽的。
Q3|我有糖尿病,真的不能植牙嗎?
A:不是絕對不行。關鍵在於「控制」。只要糖化血色素(HbA1c)控制在理想範圍內,經過醫師評估,依然可以安全地進行植牙手術。
參考文獻
- [Wolff’s Law and bone’s structural adaptations] – Physiology, Bone Remodeling – StatPearls – NCBI Bookshelf
- [Boning up on Wolff’s Law: Mechanical regulation of the cells that …] – ScienceDirect
- [The impact of bite force on the stability of dental implants – PMC] – The impact of bite force on the stability of dental implants
- [How Dental Implants Improve Bite Strength and Bone Health] – West Houston Periodontics
- [Will Dental Implants Stop Bone Loss? Understanding …] – The Burkitt Center
- [Effect of dental implant therapy on the preservation …] – Wiley Online Library
- [Preservation of alveolar ridge height through mechanical …] – ScienceDirect
- [Do dental implants preserve and maintain alveolar bone?] – Wiley Online Library
吳冠儒醫師 於民國115年3月24日撰寫
個人資訊介紹
吳冠儒牙醫師任職於台中「衡星牙醫診所」和「寬澄牙醫診所」,結合其醫療專業、美感素養與豐富臨床經驗,致力於在治療牙齒的同時,幫助病患達成變美的夢想。若您想進一步了解,歡迎參閱下方網站或向診所預約諮詢!
吳冠儒牙醫師官網:https://rink.cc/dg8eo
吳冠儒牙醫師 IG : https://rink.cc/kncyc
電話:( 04 ) 2315 – 3388
地址:台中市西屯區漢口路二段136號
網址:https://bestardent.com/


