Dental aesthetics knowledge

D美麗小姐

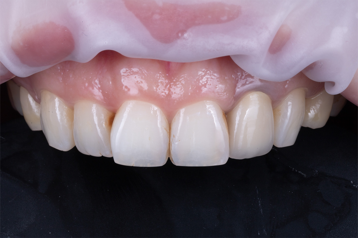
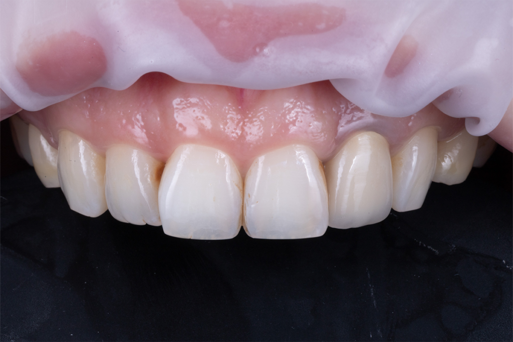
#想全面升級靚白齒色   #正中門牙軸向向外   #微笑曲線更加契合

down
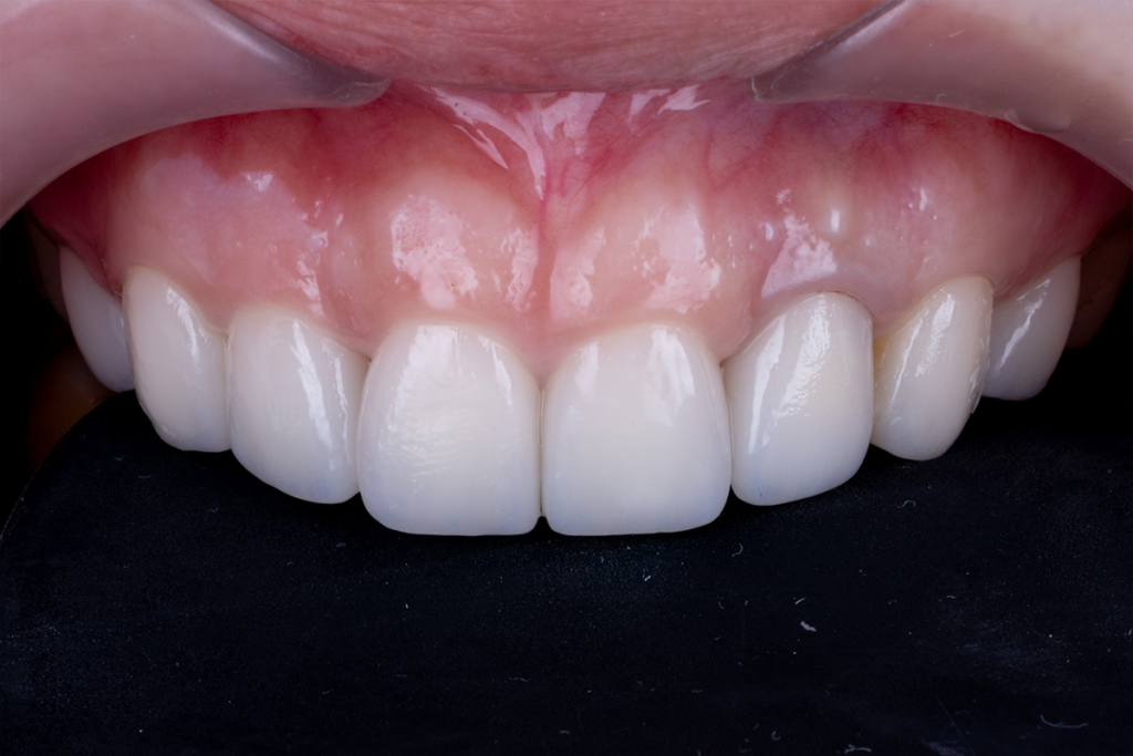
Before After

吳冠儒牙醫師本次治療項目:
#微笑設計與模擬  
#牙齒比例與長度調整   #1顆全瓷牙冠+7顆陶瓷貼片更新 (BL4) 

down

L小姐表示 : 還是想保留兔寶寶齒的特色!
在微笑設計時有一些個人的風格能不能保留?

答案是:可以!

我們專精的不是千篇一律的模板式微笑,而是因應個人特色設計的微笑曲線,這樣才能真正散發出笑容力量!

笑容平衡了,美的裡外生活平衡。
設計技師(CDT) : @tina_o2o9

#全瓷冠   #笑容訂製   #牙醫推薦   #台中牙醫   #平衡美齒觀察家   #吳冠儒牙醫師  #吳冠儒醫師  #牙控人物誌   #微笑曲線

down
返回頂端