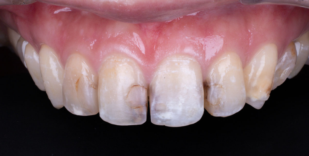
長達 6 年的矯正期終於畢業了,但牙齒多處裂痕、失色,讓 A 小姐總少了點開口大笑的自信。
A小姐諮詢前,做了相當多的功課,溝通討論快狠準( 嗯…果然是處女座)她說她不一定要有巨星的靚白,但希望有健康美好的笑容!
術前分析階段發現 A 小姐有:
# 多處蛀牙與脫鈣情況 # 牙縫、門牙比例問題 # 牙齒走向不一
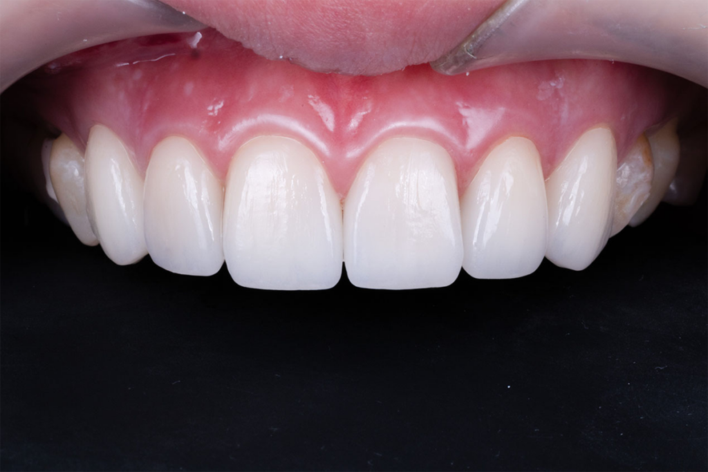
根據吳冠儒牙醫師分析,選擇了與膚色及唇色平衡的自然色,將門牙兩顆加寬,讓臉型視覺上可以更加和諧且順暢,最後製作 4 顆瓷冠與 2 個陶瓷貼片,訂製出完美的微笑曲線!
平衡美學與良好溝通,是實現理想笑容的重要關鍵,聽著A小姐爽朗明亮的笑聲洋溢診間,這樣為生活增添朝氣的感覺真好!
笑容平衡了,美的裡外生活平衡。
#平衡美齒觀察家 #吳冠儒牙醫師


